Νέο Χαμόγελο
σε 120 ημέρες
με τη Μέθοδο
FASTBRACES®


FASTBRACES®
Master Provider


Η Οδοντίατρος Ασβεστά Μαρίνα έχει μετεκπαιδευτεί και πραγματοποιεί Γρήγορη Ορθοδοντική για εφήβους και ενήλικες με τη μέθοδο FASTBRACES®, όντας πιστοποιημένος Senior Master Provider.
FASTBRACES®
Η τεχνολογία FASTBRACES® αποτελεί μια επαναστατική προσέγγιση στην Ορθοδοντική, προσφέροντας ταχύτερη και πιο άνετη διόρθωση της θέσης των δοντιών σε σύγκριση με τις παραδοσιακές μεθόδους.
Αναπτύχθηκε πριν από περίπου 25 χρόνια και έχει εφαρμοστεί με επιτυχία σε περισσότερες από 50 χώρες παγκοσμίως.
Πώς λειτουργεί η τεχνολογία FASTBRACES®;
Σε αντίθεση με τα συμβατικά ορθοδοντικά συστήματα που μετακινούν τα δόντια σε δύο φάσεις—πρώτα τη μύλη και μετά τη ρίζα—το σύστημα FASTBRACES® επιτρέπει την ταυτόχρονη κίνηση της ρίζας και της μύλης από την αρχή της θεραπείας. Αυτό επιτυγχάνεται μέσω ενός πατενταρισμένου τριγωνικού σχεδιασμού αγκίστρων και ενός ειδικά διαμορφωμένου τετράγωνου σύρματος, που εφαρμόζουν ήπιες δυνάμεις για την ευθυγράμμιση των δοντιών.


Πλεονεκτήματα της τεχνολογίας FASTBRACES®

Ταχύτερη θεραπεία
Η διάρκεια της θεραπείας με FASTBRACES® κυμαίνεται συνήθως μεταξύ 4 και 12 μηνών, με ορισμένους ασθενείς να παρατηρούν αποτελέσματα σε λίγες εβδομάδες.
Μειωμένη ενόχληση
Οι πανεπιστημιακές έρευνες δείχνουν ότι οι ασθενείς βιώνουν λιγότερη ευαισθησία και πόνο σε σύγκριση με τις παραδοσιακές μεθόδους.
Καθόλου εξαγωγές δοντιών
Σε όλες τις περιπτώσεις, η θεραπεία ολοκληρώνεται χωρίς την ανάγκη εξαγωγής υγιών δοντιών, καθώς ο τρόπος μετακίνησης των δοντιών παράγει το κόκαλο του χρειάζεται για να χωρέσουν τα δόντια στον οδοντικό φραγμό.
Βελτιωμένη στοματική υγεία
Η ταχύτερη ολοκλήρωση της θεραπείας μειώνει τον κίνδυνο τερηδόνας και ουλίτιδας, καθώς τα σιδεράκια μένουν στα δόντια για μικρότερο χρονικό διάστημα.
Αισθητική επιλογή
Για ασθενείς με αυξημένες αισθητικές απαιτήσεις, διατίθενται διαφανή κεραμικά άγκιστρα (Fastbraces® Clear™), που προσφέρουν διακριτική εμφάνιση.

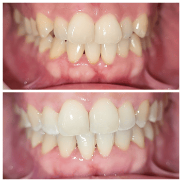
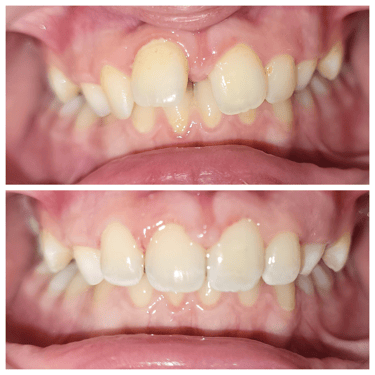
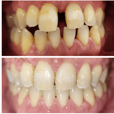
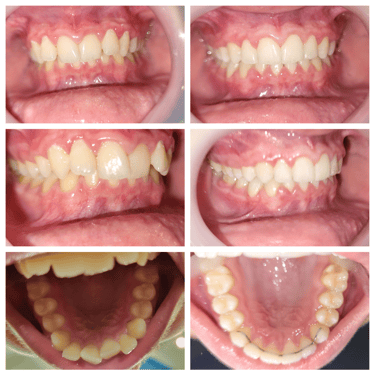
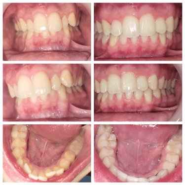
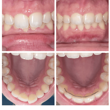
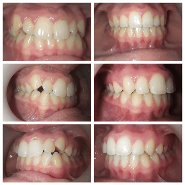
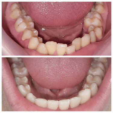
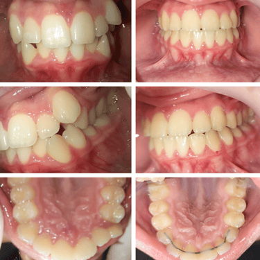
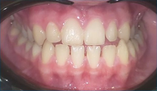
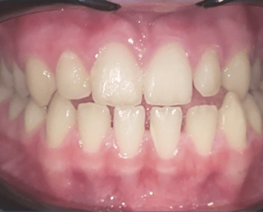
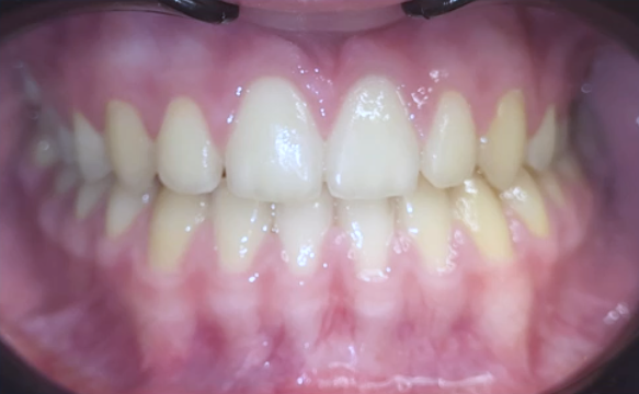
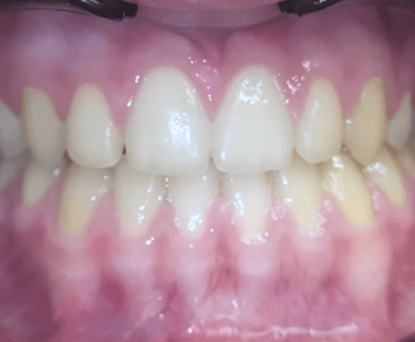
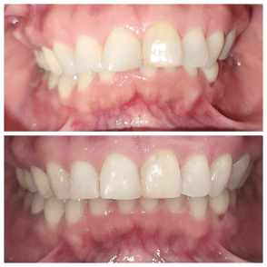
Παρουσίαση Ορθοδοντικών Θεραπειών
























Διαδικασία θεραπείας με την Ορθοδοντική Μέθοδο FASTBRACES®


🦷 Η θεραπεία ξεκινά με μια λεπτομερή κλινική εξέταση και ακτινογραφικό έλεγχο.
🦷 Αφού αποκλειστούν τυχόν αντενδείξεις, όπως ενεργή περιοδοντική νόσος, πραγματοποιείται καθαρισμός των δοντιών και φθορίωση.
🦷 Η τοποθέτηση των αγκίστρων FASTBRACES® ολοκληρώνεται συνήθως σε τρεις επισκέψεις, ξεκινώντας από τα μπροστινά δόντια για άμεση αισθητική βελτίωση.


🦷 Καθ' όλη τη διάρκεια της θεραπείας, οι ασθενείς παρακολουθούνται τακτικά για να διασφαλιστεί η ομαλή πρόοδος και η επίτευξη του επιθυμητού αποτελέσματος.
🦷 Μετά την ολοκλήρωση, παρέχονται οδηγίες για τη διατήρηση της νέας θέσης των δοντιών και τη διασφάλιση της μακροχρόνιας σταθερότητας του αποτελέσματος.


🦷 Η τεχνολογία FASTBRACES® προσφέρει μια σύγχρονη, αποτελεσματική και άνετη λύση για την ευθυγράμμιση των δοντιών, καθιστώντας την ιδανική επιλογή για όσους επιθυμούν γρήγορα και αξιόπιστα αποτελέσματα στην ορθοδοντική τους θεραπεία.



Συχνές Ερωτήσεις για τη Μέθοδο FASTBRACES®
Τι είναι η τεχνολογία FASTBRACES® και πώς διαφέρει από τις παραδοσιακές ορθοδοντικές μεθόδους;
Η τεχνολογία FASTBRACES® είναι μια επαναστατική μέθοδος ορθοδοντικής που επιταχύνει τη διόρθωση της θέσης των δοντιών, επιτρέποντας τη μετακίνηση της μύλης και της ρίζας ταυτόχρονα, μειώνοντας έτσι σημαντικά τον χρόνο ευθυγράμμισης και ολοκλήρωσης της θεραπείας.
Σε αντίθεση με τα συμβατικά σιδεράκια που απαιτούν 2 φάσεις μετακίνησης, τα FASTBRACES® επιτυγχάνουν ταχύτερα αποτελέσματα χάρη στον τριγωνικό σχεδιασμό των αγκίστρων και το ειδικό τετράγωνο σύρμα.
Πόσο διαρκεί η θεραπεία με FASTBRACES®;
Η διάρκεια της θεραπείας με FASTBRACES® είναι σημαντικά μικρότερη από αυτή των παραδοσιακών ορθοδοντικών μεθόδων. Ενώ τα κλασικά σιδεράκια απαιτούν 2-3 χρόνια θεραπείας, τα FASTBRACES® μπορούν να ολοκληρώσουν τη διαδικασία σε μόλις 3 έως 12 μήνες, ανάλογα με τη σοβαρότητα του προβλήματος. Ορισμένοι ασθενείς αρχίζουν να βλέπουν αλλαγές ακόμη και μέσα στις πρώτες εβδομάδες της θεραπείας, γεγονός που καθιστά τη μέθοδο ιδιαίτερα ελκυστική για όσους επιθυμούν γρήγορα αποτελέσματα. Παρά τη γρήγορη δράση τους, τα FASTBRACES® δεν επιταχύνουν τη μετακίνηση των δοντιών με επιθετικό τρόπο. Αντίθετα, η πατενταρισμένη τεχνολογία τους εφαρμόζει ήπιες και συνεχείς δυνάμεις, διασφαλίζοντας ότι η θεραπεία είναι αποτελεσματική, αλλά και άνετη για τον ασθενή.
Είναι επώδυνη η θεραπεία με FASTBRACES®;
Οι πανεπιστημιακές μελέτες δείχνουν ότι οι ασθενείς που χρησιμοποιούν FASTBRACES® βιώνουν λιγότερη ευαισθησία και δυσφορία σε σχέση με τα παραδοσιακά σιδεράκια, καθώς οι ήπιες δυνάμεις που εφαρμόζονται μειώνουν την πίεση στα δόντια και τα ούλα.
Χρειάζεται να αφαιρεθούν δόντια για την εφαρμογή της θεραπείας;
Στη συντριπτική πλειοψηφία των περιπτώσεων, η θεραπεία FASTBRACES® δεν απαιτεί εξαγωγή υγιών δοντιών, καθώς η τεχνολογία αυτή επιτρέπει τη φυσική αναδιαμόρφωση του οστού και τη σωστή ευθυγράμμιση των δοντιών.
Υπάρχει αισθητική επιλογή για όσους δεν θέλουν μεταλλικά σιδεράκια;
Ναι, το σύστημα Fastbraces® Clear™ προσφέρει διαφανή κεραμικά άγκιστρα που καθιστούν τη θεραπεία διακριτική, ιδανική για ενήλικες και άτομα με αυξημένες αισθητικές απαιτήσεις.
Πώς διατηρείται το αποτέλεσμα μετά την ολοκλήρωση της θεραπείας;
Μετά την ολοκλήρωση της θεραπείας, παρέχονται ειδικές οδηγίες και διαφανείς νάρθηκες συγκράτησης (retainers) για τη διατήρηση της νέας θέσης των δοντιών, ώστε να εξασφαλιστεί η μακροχρόνια σταθερότητα του αποτελέσματος.
