Περιστατικά
Φωτογραφίες από ολοκληρωμένες θεραπείες
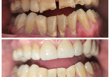
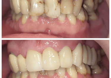
Αντικατάσταση Παλιών Στεφανών με Στεφάνες Ζιρκονίου
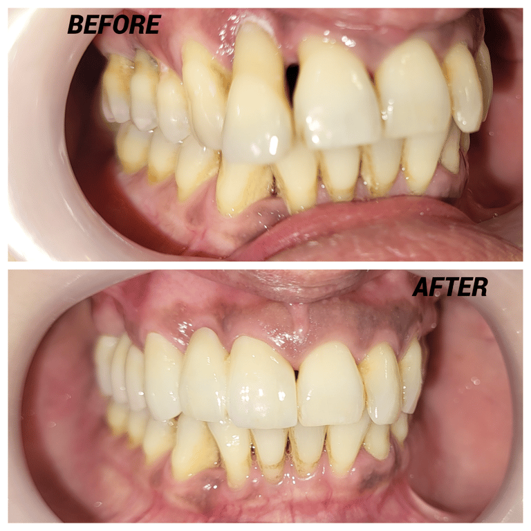
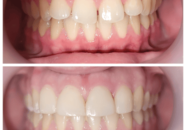
Αποκατάσταση Δοντιών με Στεφάνες Ζιρκονίου μετά από ατύχημα




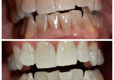
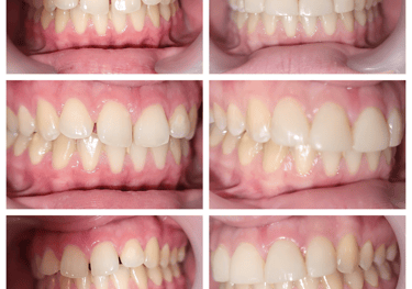
Βελτίωση Άνω Πρόσθιων Δοντιών με Στεφάνες Ζιρκονίου
Γέφυρα Ζιρκονίου




Θεραπεία Λεύκανσης στο Ιατρείο
Νάρθηκας Βρυγμού




Στεφάνες και Γέφυρα Ζιρκονίου
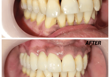
Αποκατάσταση Ελειπόντων Δοντιών με Στεφάνες Ζιρκονίου πάνω σε Εμφυτεύματα




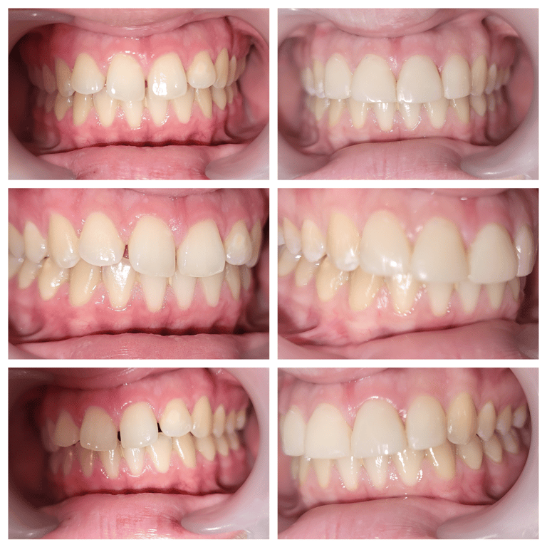
Όψεις Ρητίνης
Όψεις Ρητίνης




